ハーフリンガルの装置を装着直後の写真
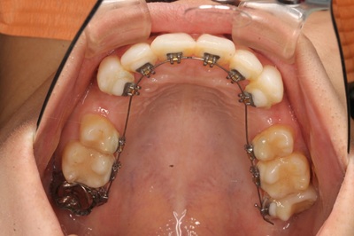
ハーフリンガルの患者さんの装置を装着した状態での口腔内の写真になります。当院では小さな装置を選択して使っているので、皆さん気にされている発音障害や違和感は極力抑えて、快適な治療を行うように心がけています。
興味がある方は、お問い合わせページからお願いいたします。


ハーフリンガルの患者さんの装置を装着した状態での口腔内の写真になります。当院では小さな装置を選択して使っているので、皆さん気にされている発音障害や違和感は極力抑えて、快適な治療を行うように心がけています。
興味がある方は、お問い合わせページからお願いいたします。

