矯正相談用WEB新患予約 院長からのお礼

NEWS お知らせ

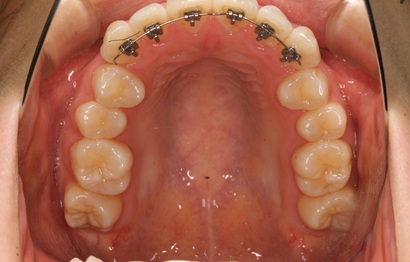
2Dリンガルブラケット

みなさん2Dリンガルブラケットは、歯の凹凸を治すのに有効なリンガルブラケットです。期間も短期間で済むことが多く、通常のリンガルブラケットより費用も抑えられます。以前、半年後の結婚式に間に合うように治療をしてほしいという患者さんの治療をしたこともあります。平べったい形なので違和感も少なく、発音も影響を受けません。興味がある方は、一度お話だけでも聞きにいらしてください。